Use of pterygoid implants to restore posterior segment without sinus lift

Pterygoid implants: the what, the why and the how

Definition

The term “pterygoid implants” refers to dental implants placed in the posterior region of the upper jaw (maxilla) in such a way that their threads engage the pterygoid process of the sphenoid bone and the pyramidal process of the palatine bone.

Their name refers exclusively to their anatomical location, as there is no single specific implant model used solely for this purpose. However, it is essential that the implants used are tapered, self-tapping, and available in a wide range of lengths (typically ranging from 13 mm to even 25 mm). Implants from the Straumann Group, such as Neodent, are highly suitable for this indication due to their extensive selection of lengths, which easily accommodates the unique anatomy of each patient. By engaging the dense cortical bone of the pterygoid plates, these implants achieve an exceptionally high degree of primary stability.

CBCT analysis of a pterygoid implant showing the anchorage in sphenoid and palatal bone
Pterygoid implant 3d position confirmed

Why Choose Pterygoid Implants?

The primary reason for utilizing pterygoid implants is the unfavorable anatomy in the posterior segment of the upper jaw, which often prevents the placement of conventional implants. The posterior maxilla is a critical functional region for resolving both partial and complete edentulism (tooth loss), as it bears the strongest chewing forces and is where the prosthetic restoration typically ends.

Frequently, clinicians encounter inadequate bone height due to the pneumatization (enlargement) of the maxillary sinus. Even when bone height is sufficient, the posterior maxilla is often characterized by low-density, highly porous bone (Type IV bone). This lack of density means a conventional implant may fail to achieve the primary stability necessary for successful healing. By using pterygoid implants, patients can completely bypass the need for risky, invasive, and costly sinus lift procedures (maxillary sinus floor elevation) while still securing a rigid posterior foundation.

To avoid sinus floor, pterygoid implants can be used quickly and safely and even accommodate immediate loading.
Low sinus floor indicates the need for pterygoid implant in a posterior dental bridge

Ultimately, within the Graft Free Implantology classification, this approach provides the essential framework for Level 2 (dental bridges) and Level 3 (full-arch) restorations when other options are exhausted. Despite their tremendous utility, pterygoid implants should always be indicated with critical caution. Not only do they demand profound anatomical knowledge and are notoriously difficult to position surgically, but meticulous care must also be dedicated to the prosthetic superstructure. Adequate restorative vertical space must be thoroughly evaluated prior to placement to ensure sufficient room for the final restoration. Furthermore, their extreme emergence angle can present a restorative challenge, frequently necessitating the use of severely angled abutments—sometimes up to 45 degrees. Consequently, comprehensive, top-down planning of all these surgical and prosthetic variables is mandatory before proceeding with their use.

Combination with All-on-4™

Pterygoid implants can be highly effectively combined with the All-on-4™ concept. In cases where extremely enlarged sinuses prevent the achievement of an adequate anteroposterior (AP) spread, relying solely on standard implants might leave patients with as few as eight teeth in an entirely toothless upper jaw.

By incorporating pterygoid implants, clinicians can drastically improve the AP spread and extend the prosthesis to a full arch of up to fourteen teeth, eliminating the biomechanical risks of extending a prosthesis backward without direct bone support (distal cantilevers). This approach is especially beneficial for patients with a very wide smile, where the second molars are visibly exposed.

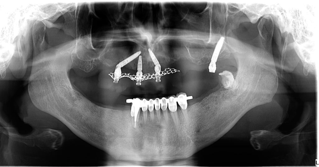
Often referred to as a “rescue implant,” the pterygoid implant can relatively easily and quickly salvage a prosthetic restoration if a conventional posterior implant or an angled All-on-4™ implant fails, thereby sparing the patient from additional complex surgical interventions. It is important to note that pterygoid implants are exclusively used by splinting them to other implants—whether for the rehabilitation of a fully toothless jaw or a partial reconstruction (e.g., one side of the posterior maxilla). They cannot be used as standalone “solo” implants to replace a single missing tooth, nor can they be used as retention for a removable overdenture.

Pterygoid implant as a rescue implant replacing the failing distal implant in All on 4 restoration

Safety and Procedure Success

Pterygoid implants have been successfully used for over 30 years and boast a remarkably high success rate ranging from 94% to 98%, depending on the clinical study.

The procedure is highly reliable, but it is heavily technique-sensitive due to the surgical depth and the proximity of vital anatomical structures, such as the greater palatine artery and the pterygoid venous plexus. Therefore, they are entirely safe only when performed by highly experienced oral surgeons or implantologists who possess profound anatomical knowledge and specialized training in this specific surgical protocol.

Pterygoid implant was used as there was no other option. The long span of restoration is a risk, but remains stable.
Another rescue situation showing a stable restoration over time in spite its long span

Scientific Evidence and Citations

To support the clinical rationale and success of pterygoid implants, here are the foundational texts and contemporary scientific publications you can reference:

  • Authority Textbooks on Remote Anchorage:
    • Holtzclaw, D. (2020). Pterygoid Implants: The Art and Science. DIA Management Services.
    • Holtzclaw, D. (2023). Remote Anchorage Solutions for Severe Maxillary Atrophy: Zygomatic, Pterygoid, Transnasal, Piriform Rim, Nasopalatine, and Trans-Sinus Dental Implants. Zygoma Partners LLLP.
    • Context: Dr. Dan Holtzclaw is widely regarded as a leading global authority on remote anchorage and graft-free full-arch implantology. These comprehensive textbooks detail the critical anatomy, precise surgical techniques, and biomechanical principles required to successfully utilize pterygoid implants to bypass severe maxillary bone loss.
  • Immediate Loading Efficacy (Large-Scale Study):
    • Holtzclaw, D. (2023). Pterygoid implant survival rates with full-arch immediate-loading protocols. Implant Practice US, 16(2).
    • Context: This landmark clinical study evaluated 1,058 pterygoid dental implants placed in immediate-load full-arch restorations. It reported an exceptional mean survival rate of 98.02%, conclusively demonstrating that modern roughened-surface implants achieve highly predictable outcomes when engaging the dense pterygoid structures, even under immediate functional loading.
  • Systematic Reviews on Survival & Success:
    • Raouf, K., & Chrcanovic, B. R. (2024). Clinical Outcomes of Pterygoid and Maxillary Tuberosity Implants: A Systematic Review. Journal of Clinical Medicine, 13(15), 4544.
    • Context: This extensive systematic review analyzed thousands of pterygoid implants, reporting 10-year cumulative survival rates exceeding 92%. It confirms that utilizing the cortical bone of the pterygoid plate provides reliable, long-term prosthetic support.
  • The Foundational Protocol:
    • Tulasne, J. F. (1989). Implant treatment of missing posterior dentition. In T. Albrektsson & G. A. Zarb (Eds.), The Brånemark Osseointegrated Implant (pp. 103). Quintessence Publishing.
    • Context: Dr. Jean-François Tulasne (building on concepts from Paul Tessier) was the first to formally describe the surgical use of dental implants in the pterygomaxillary region to overcome severe maxillary atrophy without relying on bone grafting.

Clinical application of these protocols is performed daily at White Clinic Belgrade

author avatar
Dr. Vladimir Malušev Oral Surgeon
Dr. Vladimir Malušev is a Specialist in Oral Surgery (University of Belgrade) and an active member of the International Team for Implantology (ITI). He is a cofounder and lead clinician at White Clinic Belgrade. With a passion for Graft Free Implantology, he is dedicated to providing patients with minimally invasive dental solutions.

Comments

Leave a Reply

Your email address will not be published. Required fields are marked *