Graft-Free Implantology. Surgery Designed Around Existing Bone.
I practice implant surgery with one principle — preserve what exists before rebuilding what is missing. Clean technique. Transparent decisions. Predictable results.

Precision
Excellence is not about complexity.
It is about control.
In implant surgery, precision determines stability, and stability determines longevity. My work is built on anatomical discipline, mechanical understanding, and long-term responsibility.
Literature
The Graft Free Library
Protocols, clinical articles, case reports, and evidence-based insights.
Clinical Cases
Recent cases and results
Each case shows what careful work can accomplish.
-
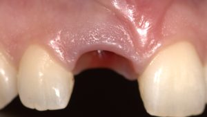
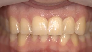
Level 1 Case: Socket shield technique
initial state Surgical stage after initial healing Final Restoration The future of the aesthetic zone…

-
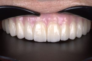
Case: Buccaly Displaced Flap
Initial state – Patient lost central incisor some time ago Intraoral Scan – clearly visible…

Skills
The Core Focus of My Surgical Work
My work is structured around one principle:
Design treatment around existing anatomy.
These three areas represent a cumulative surgical philosophy — preserving biology, optimizing biomechanics, and restoring full function with minimal unnecessary intervention.

Graft Free Implantology
Strategic implant positioning within native cortical bone to achieve stability without synthetic augmentation.
Preserve structure. Reduce variables. Increase predictability.

Immediate Loading Protocols
Controlled immediate loading protocols that restore function within 24 hours — when primary stability allows.
Stability first. Function immediately.

Graft Free Implantology
Advanced cortical anchoring techniques for severely resorbed jaws — avoiding extensive ridge reconstruction whenever anatomically possible.
Real results
Clinical Outcomes — In Their Words

I am very impressed with how good the service is at this place. Clean clinic with good equipment, super friendly staff. And all this at more than reasonable prices for services. The main thing is the feeling that they really want to help you. I had a couple of surgeries and a couple of difficult teeth, all of this was fixed, and also I got answers to all my questions, and in English, which in my case is very convenient. Thanks to Dr. Jana and Dr. Vladimir for their professionalism and kindness.

Inari senpai

Professional and super supportive staff at this clinic. I had three wisdom teeth removed through my insurance and am absolutely satisfied and grateful — especially to the surgeon Dr. Vladimir Malušev.

Natalia Uspenskaia

I came to White Clinic two weeks ago to get all four of my wisdom teeth out. I thought that it was going to be very painful and scary, but I ended up being pretty comfortable.
Dr. Vladimir is very kind, patient and empathetic, and he did a great job explaining what the procedure really entailed, so I knew exactly what would be happening to me on the day of the operation. I felt like he genuinely cared about me as a patient; he texted me a day or two after the surgery to see how I was doing, as well as followed up with me a week later. The staff is beyond nice as well! They made things very easy and seamless when scheduling my appointments, as well as on the day of surgery.

Hua Lei


