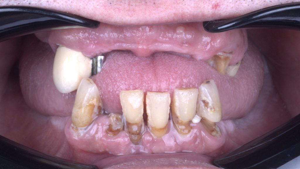
INITIAL STATE

Terminal dentition.
Remaining teeth are inadequate for future restoration
CBCT Maxilla
3D Cone Beam Computer Tomography is used for diagnostics and treatment planning
CBCT Mandibula
CBCT analysis of both jaws show available bone for fixed implant born dental restoration
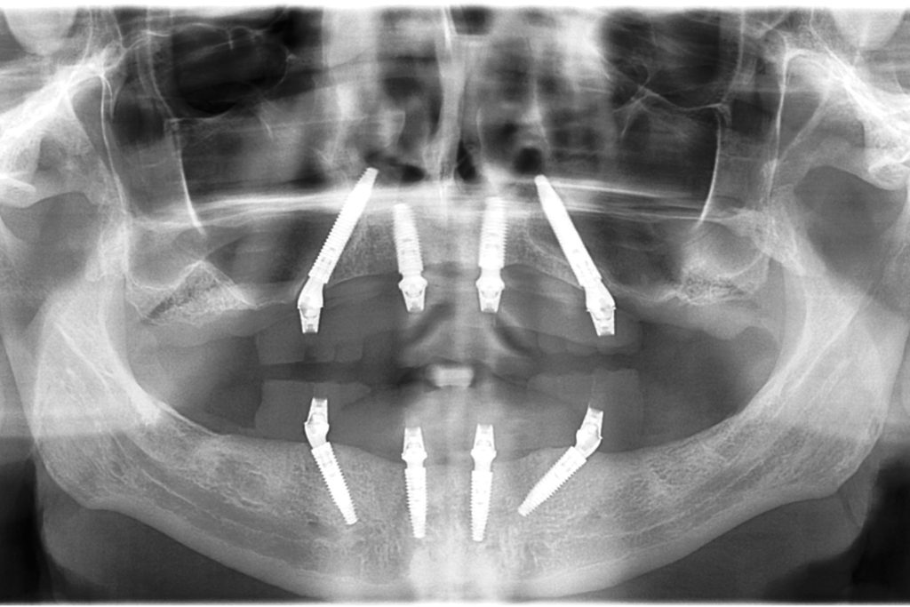
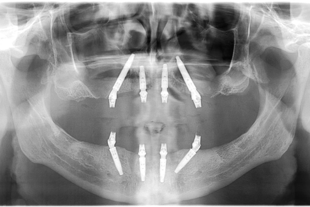
Double All-on-4 surgery Belgrade
Control Panoramic X ray image right after surgery showing Neodent GM Helix implants
PMMA provisional All on 4 bridge
After a couple of days patient is fitted with provisional fixed screw retained PMMA dental bridges
Immediate loading with PMMA temporary bridge - White Clinic Belgrade
Immediate implant placement and immediate loading restore both function and aesthetics
Panoramic X-ray scan
We check the fit of temporary dental bridge and implants and find it perfectly sitting
Keratinized tissue
After six months of healing we find healthy keratinized mucosa around implants and restoration
Keratinized peri-implant mucosa
It is a joy to observe perfect soft tissue healing Just look at the robust band of keratinized gingiva
One more Panoramic check before the final restoration
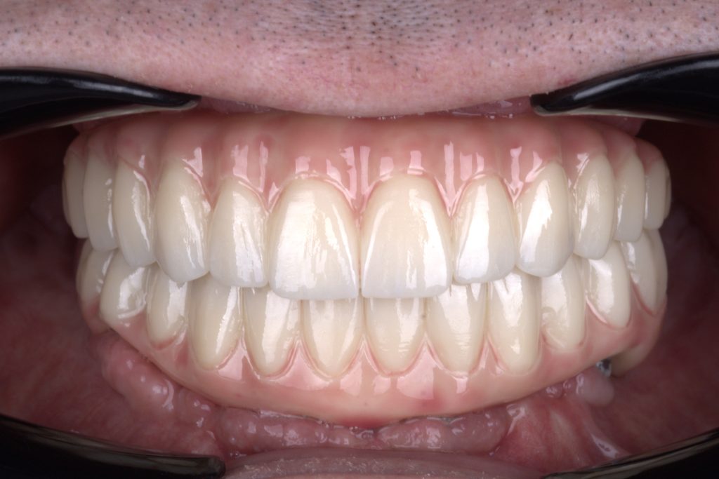
Final monolithic zirconia restoration for a double All-on-4 case study.
Finally a deserved smile Beautiful teeth
Precision-engineered occlusion, expertly crafted by our lab at White Clinic Belgrade.
Easy transition from proper provisional teeth to final ceramic restoration
The beauty of precision: Capturing the perfect bite in monolithic zirconia.
Exceptional monolithic zirconia expertly crafted by our laboratory team at White Clinic Belgrade
Visual satisfaction: The seamless occlusion of monolithic zirconia at White Clinic Belgrade.
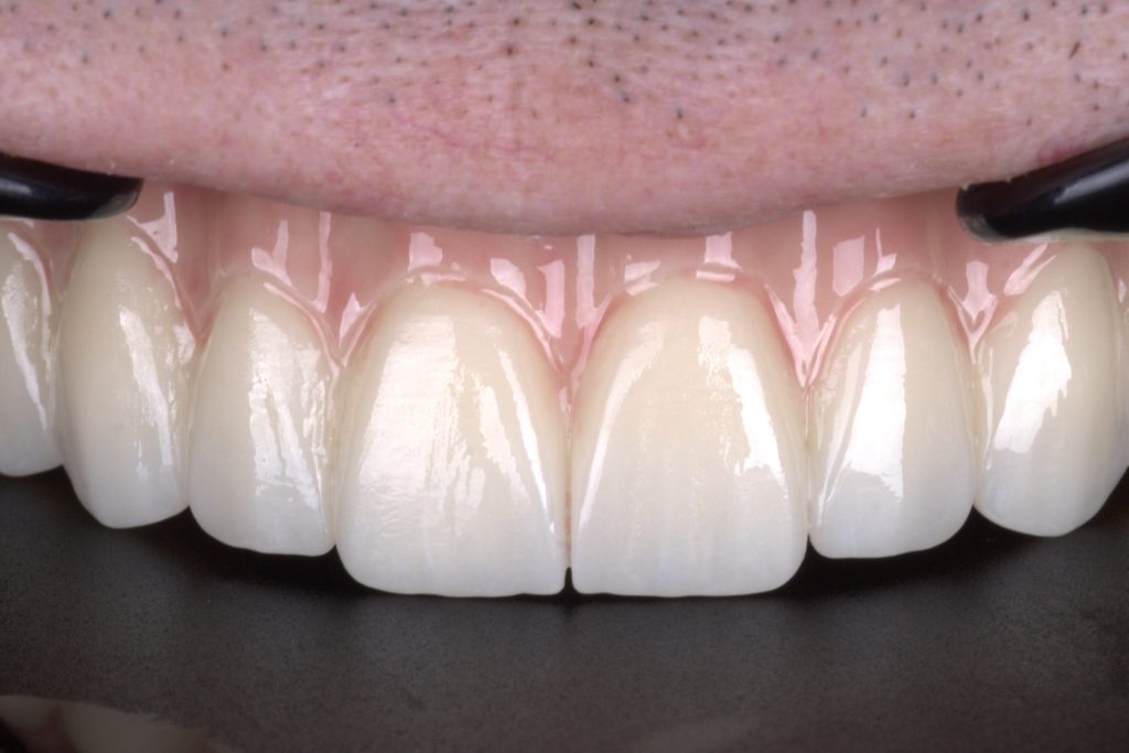
The beauty of precision Capturing the perfect bite in full contour zirconia
Exquisite incisal edges and perfect occlusion in full-contour zirconia.
I just cant resist a closer look at these exquisite incisal edges

This procedure is a core protocol of the Graft Free Implantology concept and is routinely performed at White Clinic Belgrade For clinical inquiries or case referrals regarding the BDF technique contact our surgical team here

author avatar
Dr. Vladimir Malušev Oral Surgeon
Dr. Vladimir Malušev is a Specialist in Oral Surgery (University of Belgrade) and an active member of the International Team for Implantology (ITI). He is a cofounder and lead clinician at White Clinic Belgrade. With a passion for Graft Free Implantology, he is dedicated to providing patients with minimally invasive dental solutions.

Comments

One response to “Case: All-on-4”

  1. […] Check out a clinical case: Double All on 4 – A Visual Evolution Clinical application of these protocols is performed daily at White Clinic Belgrade Dr. Vladimir Malušev Oral Surgeon Dr. Vladimir Malušev is a Specialist in Oral Surgery (University of Belgrade) and an active member of the International Team for Implantology (ITI). He is a cofounder and lead clinician at White Clinic Belgrade. With a passion for Graft Free Implantology, he is dedicated to providing patients with minimally invasive dental solutions. See Full Bio […]

Leave a Reply

Your email address will not be published. Required fields are marked *