Double All-on-4: Визуелно путовање до монолитне цирконије

ПОЧЕТНО СТАЊЕ

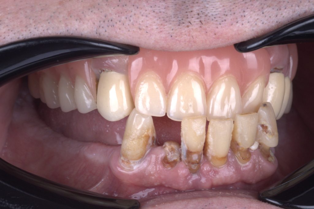
Делимична протеза на горњој вилици и каријес корена и пародонтална болест на доњој вилици.
Делимична протеза на горњој вилици, недостајућа дентиција, каријес корена и пародонтална болест на доњој вилици
Терминална дентиција.
Преостали зуби нису довољни за будућу рестаурацију.
ЦБЦТ максиле
3D конусно-зрачна компјутерска томографија се користи за дијагностику и планирање лечења.
ЦБЦТ мандибуле
ЦБЦТ анализа обе вилице показује присутно костно ткиво за фиксну стоматолошку рестаурацију на имплантатима.
Двострука All-on-4 операција у Београду
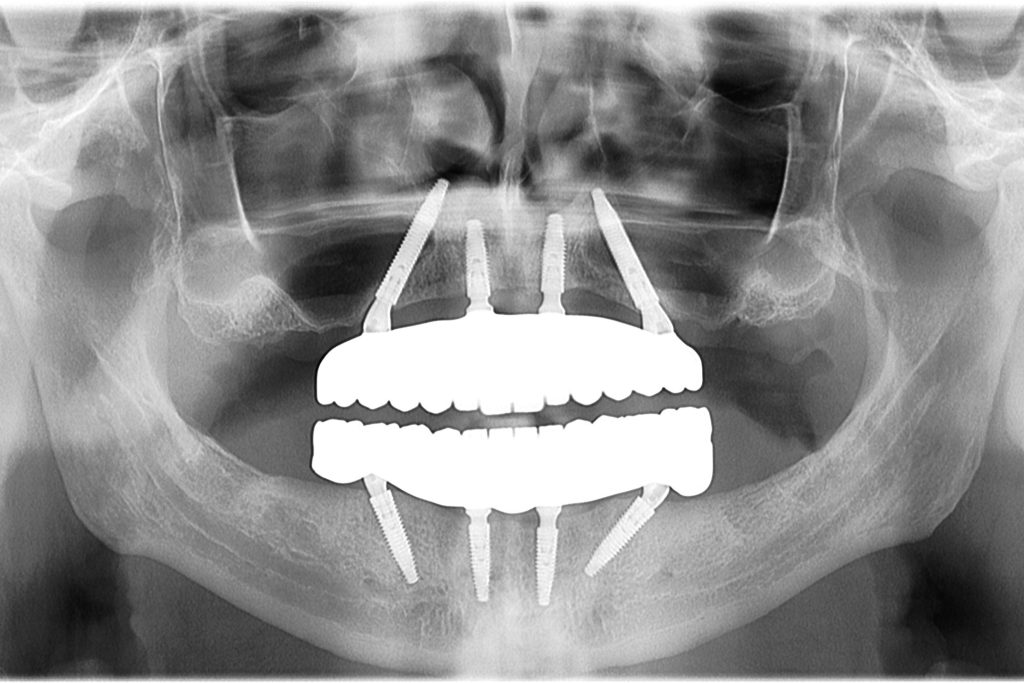
Контролни панорамски рендгенски снимак одмах после операције који приказује Neodent GM Helix имплантате
ПММА привремени мост All on 4
Након неколико дана пацијенту се уграђују привремене фиксне ПММА зубне мостове на вијке.
Хитна имплантација са привременим мостом од ПММА - Вајт Клиник Београд
Непосредно постављање имплантата и непосредно оптерећење вратити и функцију и естетику
Панорамски рендгенски скенирање
Проверавамо пристајање привременог зубног моста и имплантата и утврђујемо да савршено пристају.
Кератинизовано ткиво
Након шест месеци зарастања уочавамо здраву кератинизовану мукозу око имплантата и рестаурације.
Кератинизована периимплантатна мукоза
Задовољство је посматрати савршено зарастање меких ткива. Само погледајте чврсту траку кератинизованог десни.
Још једна панорамска провера пре коначне рестаурације
Коначна монолитна рестаурација од цирконије за двостручан случај All-on-4.
Коначно заслужен осмех. Прелепи зуби.
Прецизно конструисана оклузија, стручно израђена у нашој лабораторији у Вајт Клиник Београд.
Лака транзиција од привремених зуба до коначне керамичке рестаурације
Лепота прецизности: постизање савршеног загриза у монолитном цирконијуму.
Изузетно монолитни цирконија стручно израђена од стране нашег лабораторијског тима у Вајт Клиник Београд
Визуелно задовољство: беспрекорна оклузија монолитне цирконије у Вајт Клиник Београд.
Лепота прецизности: постизање савршеног угриза у пуној контури цирконије
Префињене инцизалне ивице и савршен оклузион у пуноконтурном цирконијуму.
Једноставно не могу да одолим да ближе погледам ове изврсне инцизалне ивице.
Рентгенски снимак контроле показује оптимално нагибање имплантата за двоструку All-on-4 стабилност и савршено прилагођавање цирконије.
Коначни рентгенски снимак потврђује савршено прилагођавање рестаурација и здрав периоимплантни кост.

Овај поступак је основни протокол концепта Graft Free Implantology и рутински се изводи у White Clinic Београд. За клиничка упитна или упућивања случајева у вези са BDF техником контактирајте наш хируршки тим овде.

аватар аутора
Др Владимир Малушев Орални хирург
Др Владимир Малушев је специјалиста оралне хирургије (Универзитет у Београду) и активан члан Међународног тима за имплантологију (ITI). Он је кооснивач и водећи клиничар у White Clinic Belgrade. Са страшћу према имплантологији без графтова, посвећен је пружању пацијентима минимално инвазивних стоматолошких решења.

Коментари

Једно реаговање на на „Case: All-on-4“

  1. […] Погледајте клинички случај: Double All on 4 – визуелна еволуција. Клиничка примена ових протокола се свакодневно спроводи у White Clinic Београд. Орални хирург др Владимир Малушев је специјалиста оралне хирургије (Универзитет у Београду) и активан члан Међународног тима за имплантологију (ITI). Он је кооснивач и водећи клиничар у White Clinic Београд. Са страшћу према имплантологији без графтова, посвећен је пружању пацијентима минимално инвазивних стоматолошких решења. Погледајте целу биографију […]

Оставите одговор

Ваша адреса е-поште неће бити објављена. Неопходна поља су означена *