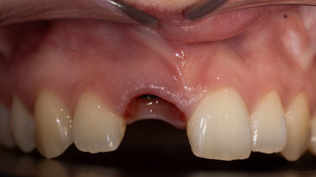
initial state



Surgical stage


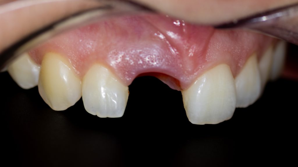
after initial healing



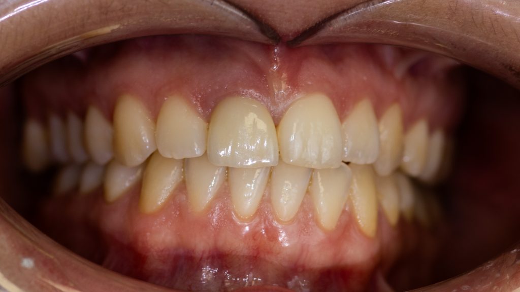
Final Restoration







The future of the aesthetic zone isn’t found in a bottle of bone substitute; it is found in the meticulous preservation of the patient’s own anatomy.

















The future of the aesthetic zone isn’t found in a bottle of bone substitute; it is found in the meticulous preservation of the patient’s own anatomy.

Leave a Reply