In Graft Free Implantology (GFI), the approach to soft tissue is governed by the principle of Biological Economy. Because GFI avoids the aggressive bone-building protocols of GBR, the mucoperiosteal flap design is intentionally modified to keep maximum tissue vascularization intact. In the GFI framework, we do not “open to see”; we “access to treat,” relying on advanced diagnostics to minimize trauma.
The Core Philosophy: Beyond Visual Access
Traditionally, flaps are raised for visibility. However, vertical incisions and extensive buccal bone exposure introduce bleeding, postoperative swelling, and eventual bone resorption.
With modern CBCT imaging, we analyze anatomy in 3D before the first incision. If we know the buccal bone is present, there is no justification for exposing it in Level 1 and most Level 2 cases. However, it must be emphasized that GFI protocols—while promoting procedural simplicity—are not intended for inexperienced clinicians. These are considered advanced techniques, as they require a sophisticated grasp of local anatomy. Only the experienced clinician, through the synergy of precise CBCT analysis and tactile palpation, can reliably achieve ‘blind’ or micro-access placement in the correct anatomical position. Furthermore, Punch techniques are strictly contraindicated in the GFI concept; there is no biological justification for removing keratinized tissue, as our goal is always to repurpose and reposition existing biological assets without compromising their blood supply.
- Level 1: Single Implant Cases – The Micro-Access Approach
- Goal: Preservation of the periosteal blood supply and the “Biological Seal.”
- Flapless Protocol (Immediate Placement): Where the extraction socket provides the entry point, there is no biological rationale for raising an additional flap. We utilize the existing anatomy to preserve the architecture.
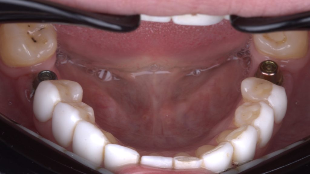
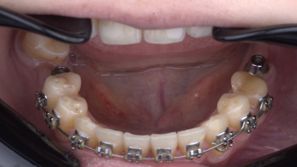
- The Micro-Flap: Utilized primarily in posterior cases with sufficient keratinized mucosa. A minimal incision is made to accommodate the abutment and protecting cylinder. This “minimal-entry” approach requires no suturing and accelerates the healing phase.
- Advanced Repositioning (BDF, Folding, Roll Flaps): Whether utilizing the Abrams Roll technique or a Buccally Displaced Flap (BDF), all GFI modifications share one golden rule: The horizontal incision is never placed mid-crestal.
- Goal: Preservation of the periosteal blood supply and the “Biological Seal.”
- Level 2: Segmental Restorations – The Modular Bridge Protocol
- Goal: Maintaining interproximal stability across multi-unit gaps.
- Cumulative Application: All Level 1 preservation principles apply. If a patient presents with minimal defects, sites are treated as individual “Micro-Access” points.
- Selective Exposure: While vertical incisions may be introduced to manage larger segments, the GFI mandate limits this to the bare minimum—typically no more than one per flap—to prevent compromising the regional blood supply.
- Goal: Maintaining interproximal stability across multi-unit gaps.
- Level 3: Full Arch Rehabilitation – The Macro-Anatomical Approach
- Goal: Providing a stable, keratinized environment for immediate total function.
- Strategic Horizontal Extension: For All-on-4 and remote anchoring protocols, the incision typically extends from the second molar region, on one side to the second molar on other. We preserve the tuberosities to maintain posterior stability.
- Apical Limitation: Vertical incisions are placed distally (around the second molar) and are only minimally extended apically to avoid deep muscle attachments and nerves.
- The “Zero-Waste” Policy: During bone reduction, we are often left with an abundance of soft tissue. In the GFI system, we never discard tissue.
- Goal: Providing a stable, keratinized environment for immediate total function.
Summary of the GFI Flap Mandate
By prioritizing Vascular Integrity over Surgical Convenience, Graft Free Implantology ensures that postoperative morbidity is minimized. We treat soft tissue as a precious resource that is repositioned and optimized, never subtracted.

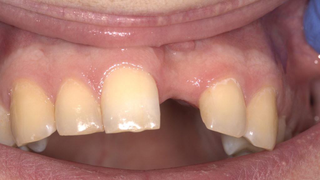
Buccaly displaced flap – situation before procedure

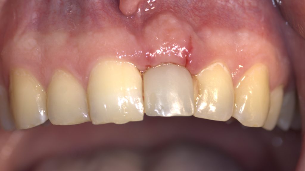
BDF after 7 days

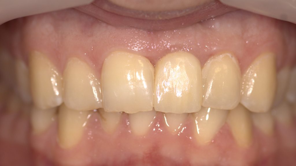
BDF – after healing

Final crown fitted after healing


Micro flap after two days – no sutures and keratinized gingiva displaced


Micro flap after two days – quicker healing, no swelling


Micro flap – another case, predictable outcome

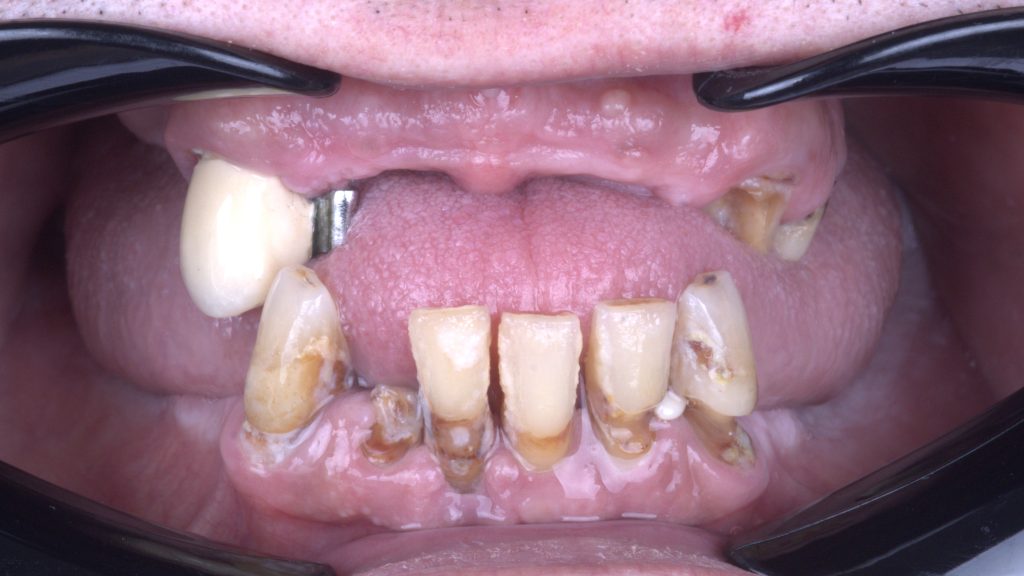
Inflamed gingiva of a patient before All on 4 procedure


Full arch reconstruction with stable keratinized gingiva

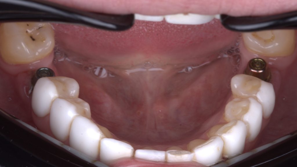
Healthy keratinized gingiva in the lower jaw



Leave a Reply